Ästhetischer Zahnersatz
Spezialisten für Ästhetische Zahnmedizin
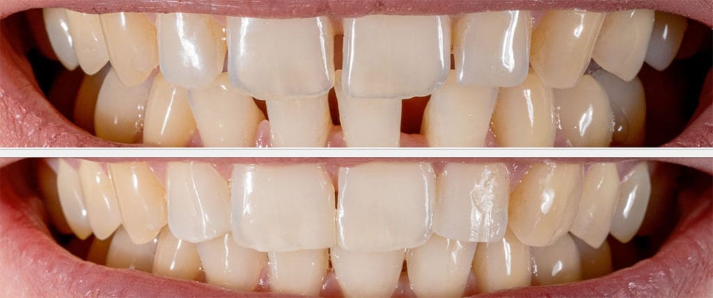
Ästhetischer Zahnersatz: Ein strahlendes Lächeln dank moderner Zahnmedizin
Ein Lächeln kann Türen öffnen, Herzen erwärmen und den ersten Eindruck prägen. Doch was, wenn die eigenen Zähne nicht mehr so strahlen, wie sie es einst taten? Hier kommt der ästhetische Zahnersatz ins Spiel.
Was ist ästhetischer Zahnersatz?
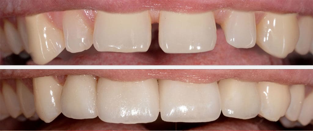
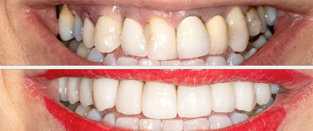
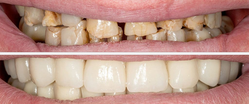
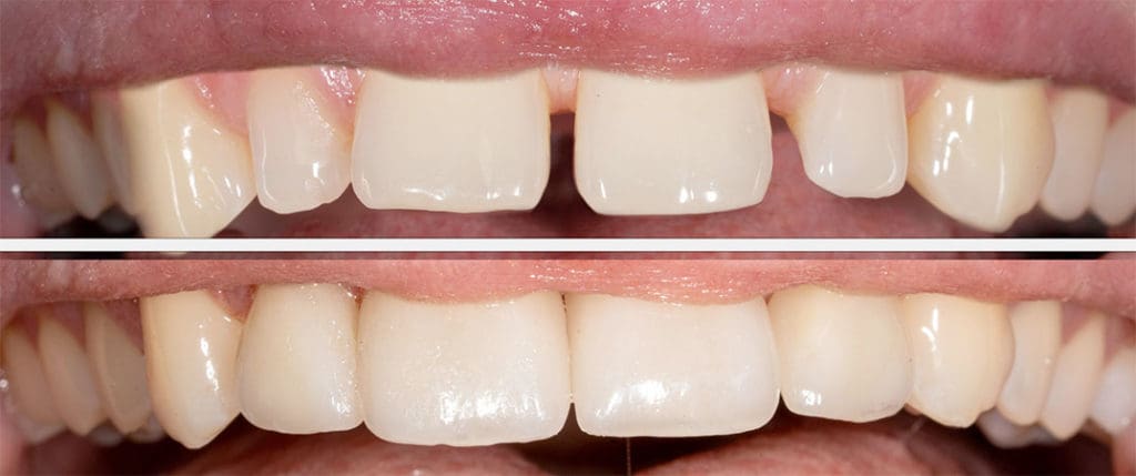
Ästhetischer Zahnersatz bezeichnet alle Arten von Zahnersatz, die nicht nur funktional, sondern auch optisch ansprechend sind. Das Ziel ist es, ein natürliches und harmonisches Erscheinungsbild zu schaffen, das sich nahtlos in das Gesamtbild des Mundes einfügt.
Moderne Behandlungsmethoden für ein perfektes Lächeln
Die moderne Zahnmedizin bietet eine Vielzahl von Möglichkeiten, um das Lächeln der Patienten zu perfektionieren. Von Kronen über Brücken bis hin zu Veneers und Bleaching – die Auswahl ist groß und die Ergebnisse sind beeindruckend.
- Kronen: Sie umhüllen den gesamten sichtbaren Teil des Zahnes und schützen ihn vor weiteren Schäden.
- Brücken: Sie ersetzen fehlende Zähne und werden an den benachbarten Zähnen befestigt.
- Veneers: Dünne Keramikschalen, die auf die Vorderseite der Zähne geklebt werden, um deren Aussehen zu verbessern.
- Bleaching: Ein Verfahren zur Aufhellung der Zähne, das für ein strahlend weißes Lächeln sorgt.
Erfahre mehr zum Thema Zahnersatz in unseren Videos:
Vorteile
Der Zahnersatz wird so gestaltet, dass er sich nahtlos in das natürliche Erscheinungsbild des Mundes einfügt.
Mit der richtigen Pflege kann ästhetischer Zahnersatz viele Jahre halten.
Ein schönes Lächeln kann das Selbstbewusstsein stärken und das allgemeine Wohlbefinden verbessern.
Was kostet ein strahlendes Lächeln?
Ein makelloses Lächeln ist für viele Menschen ein Zeichen von Gesundheit, Selbstbewusstsein und Attraktivität. Doch was kostet es, dieses strahlende Lächeln mit Hilfe von ästhetischem Zahnersatz zu erreichen? Die Kosten für ästhetischen Zahnersatz können stark variieren und hängen von verschiedenen Faktoren ab.
Art des Zahnersatzes: Es gibt verschiedene Arten von ästhetischem Zahnersatz, darunter Veneers, Kronen, Brücken und Implantate. Veneers, dünne Keramikschalen, die auf die Vorderseite der Zähne geklebt werden, können beispielsweise weniger kosten als ein komplettes Implantat, das einen fehlenden Zahn ersetzt.
Material: Die Wahl des Materials spielt eine entscheidende Rolle bei den Kosten. Während Gold und andere Metalle teurer sein können, sind Keramik und andere zahnfarbene Materialien oft die bevorzugte Wahl für ästhetischen Zahnersatz, da sie ein natürlicheres Aussehen bieten.
Meistgestellte Fragen
Was kostet ästhetischer Zahnersatz?
Die Kosten variieren je nach Art und Umfang des Zahnersatzes. Es ist ratsam, sich von einem Zahnarzt beraten zu lassen.
Wie lange hält ästhetischer Zahnersatz?
Mit der richtigen Pflege kann er viele Jahre halten. Regelmäßige Kontrollen beim Zahnarzt sind jedoch wichtig.
Tut das Einsetzen von ästhetischem Zahnersatz weh?
Nein, der Eingriff wird unter lokaler Betäubung durchgeführt, sodass der Patient keine Schmerzen verspürt.
Kann ich mit ästhetischem Zahnersatz alles essen?
Ja, aber es ist ratsam, in den ersten Tagen nach dem Einsetzen vorsichtig zu sein und keine sehr harten oder klebrigen Lebensmittel zu essen.
Wie pflege ich meinen ästhetischen Zahnersatz?
Die Pflege ähnelt der normalen Zahnpflege. Regelmäßiges Putzen, Zahnseide und Mundspülungen sind wichtig.
Kann jeder ästhetischen Zahnersatz bekommen?
Die meisten Menschen können von ästhetischem Zahnersatz profitieren. Es gibt jedoch einige medizinische Bedingungen, die berücksichtigt werden müssen. Eine Konsultation mit einem Zahnarzt ist daher unerlässlich.

















